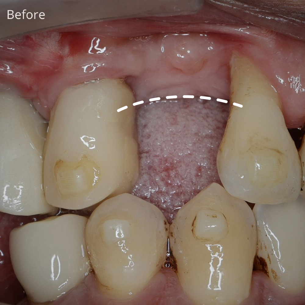
補骨不可怕,植牙失敗才可怕! 首頁 案例分享 高效補骨 補骨不可怕,植牙失敗才可怕! 兆品美學牙醫用案例告訴你! 植牙就像蓋房子,地基穩不穩固很重要 如果齒槽骨不足,就像地基不夠牢,植體植入後可能不夠穩定,影響長期效果喔~