Toggle navigation
關於我們
診所理念
醫療設備
關於兆品
醫師團隊
醫療項目
雷射微創植牙
舒眠植牙
DSD美學貼片
顯微根管治療
數位仿真全瓷冠
隱形矯正
兒童專科
牙周專科
一日全口重建(All on 4)
雷射冷光美白
人工植牙
水雷射治療
全口假牙立刻重建
拯救植牙失敗
MRC矯正
3D齒雕
數位導航式植牙
專利補骨材質
診所環境
門診時間
案例分享
光速美學
3D數位齒雕
高效補骨
MRC矯正
隱形矯正
隱形矯正
首頁
案例分享
隱形矯正
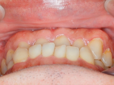
牙齒太亂?透明牙套也能讓你悄悄變美!
More
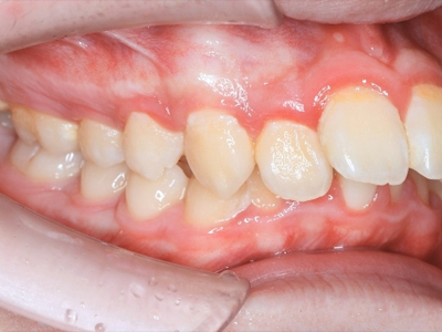
不只是變整齊,更是「從內而外」的臉型變化!隱適美反咬合矯正真實案例
More
«
1
»
Line
Facebook
Phone
Instagram
News