數位導航式植牙
微創植牙-數位導航式植牙
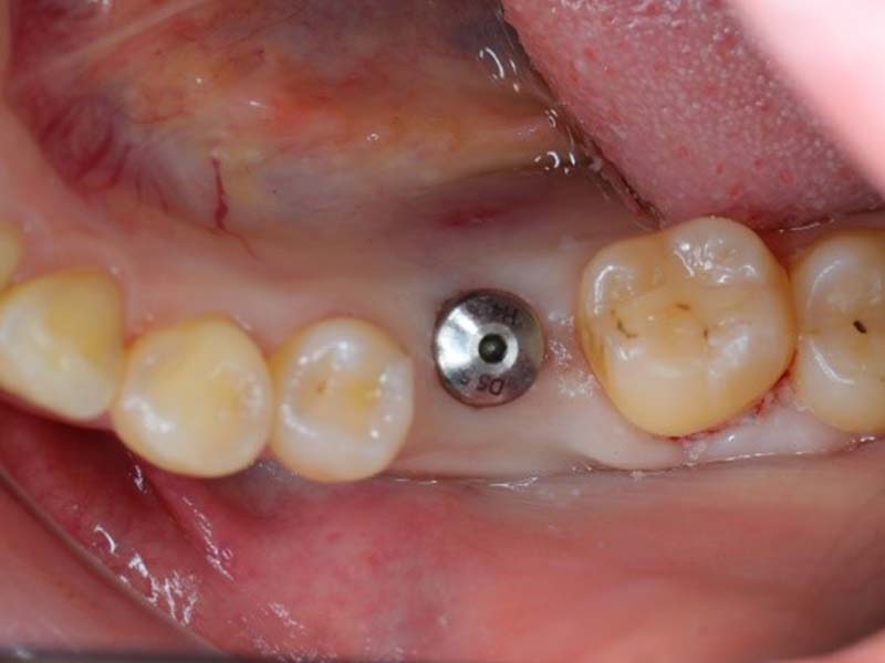
何謂數位導航式植牙
利用CT影像及口掃檔清楚掌握患者口腔內骨頭、牙齒、神經與血管的位置,事前模擬植體位置,並利用 3D 列印做出手術導板,確保植入深度與位置都恰如其分,在手術中能控制植體精準的位置與深度,避免傷及神經血管、打穿鼻竇,又足以讓齒槽骨牢牢地抓住人工牙根。
為什麼需要數位植牙
1.制定最佳治療方案
術前透過電腦模擬植牙位置,考量骨密度及咬合位置。制定最佳治療方案,使用數位化設備輔助,避開神經位置,降低植牙手術造成神經損傷的風險。也可以讓未來假牙贗復的結果為理想咬合的位置。


2.可進行微創植牙手術
不同於一般植牙手術,微創植牙手術不須切開牙齦再縫合。傷口小、出血量少,疼痛感比傳統植牙手術減輕許多,復原時間也相對縮短。減輕疼痛及發炎,降低感染風險,精準且舒適,為最新一代植牙技術。


3.大幅縮短治療時間
因為預先進行模擬設計,符合個人口腔型態及條件,大幅縮短整個治療時間。
4.延長植體使用壽命
電腦輔助設計,完整考量咬合及負重分散,並以手術導板輔助精準地植入植體,延長植體的使用壽命。

數位導引板的優點
數位導板結合了電腦斷層分析,能較瞭解骨頭狀況、神經及鼻竇的位置,大幅提高植體放置的精準度,也配合掃描儀將患者齒列狀況輸入電腦,設計未來贋復的位置,增加手術的成功率。最後利用3D列印機產出導板,只要喝杯咖啡的時間就印好了,提高了工作效能。
數位導航式植牙的優點
植牙的成功與否不只要靠醫師的技術,還要加上術前仔細評估、手術過程精準、術後照護等因素,才能保證植牙治療的品質。 根據醫學研究報告顯示,一旦植體放入的位置不當,不僅會造成往後的假牙製作不易,更容易出現斷裂或發炎等問題,導致植牙失敗。在植牙過程中,病患不自主的小動作(如吞嚥口水、嘔吐反射、嘴巴張不開等),也都會影響植體放入的角度,只要位置不夠精準,植牙治療效果就會大打折扣。植牙手術導板可製化,針對不同病患設計,提高植牙成功率。建議民眾在接受植牙治療時,可藉由植牙手術導板精準定位,達到成功植牙的治療成果。
