3D數位齒雕(案例2)
仿真美學之3D數位齒雕
很多人都會以為是不是都要等牙吃崩落了,斷裂了,甚至是有明顯症狀時才需要看牙,找醫生求救。其實你不知道的是,很多時候如果可以先做好”預防性”治療,可以避免掉很多不必要的折磨!
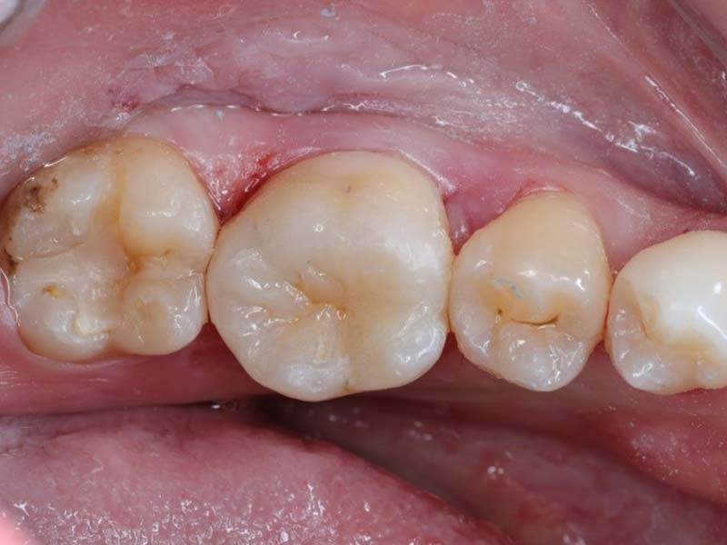
這次分享的案例是要讓大家看見兆品美學團隊為你保留自然牙!!

曾經蛀牙範圍很大的牙齒,傳統的作法只能挖除大片蛀牙後再用樹脂材料覆蓋,除了美觀上很難恢復外,型態上也是大走山,間接影響到咬合功能。以往來說,如果想要處理外型上的問題,又想要牙齒能堅固耐用,都只能將牙齒整個磨小套上人工牙冠,但這真的只是唯一選擇嗎?過度的磨掉健康的牙齒也間接影響了牙齒的壽命及再治療的可能!或許下次出問題的時候已經只剩拔牙的選擇了!!
兆品美學的數位仿真齒雕告訴你:
我們為你保留最大程度的自然牙!! 你的牙齒我們比你更在乎!

