3D數位齒雕(案例1)
仿真美學之3D數位齒雕(案例1)

蛀牙是普遍最常遇到,而且也最讓人困擾的問題。蛀牙的處理可大可小,有時傳統的樹脂補牙容易間接造成更惱人的問題,這裡就跟大家介紹運用仿真美學,處理大範圍蛀牙,除了美觀以外還能恢復牙齒正常功能及強度。
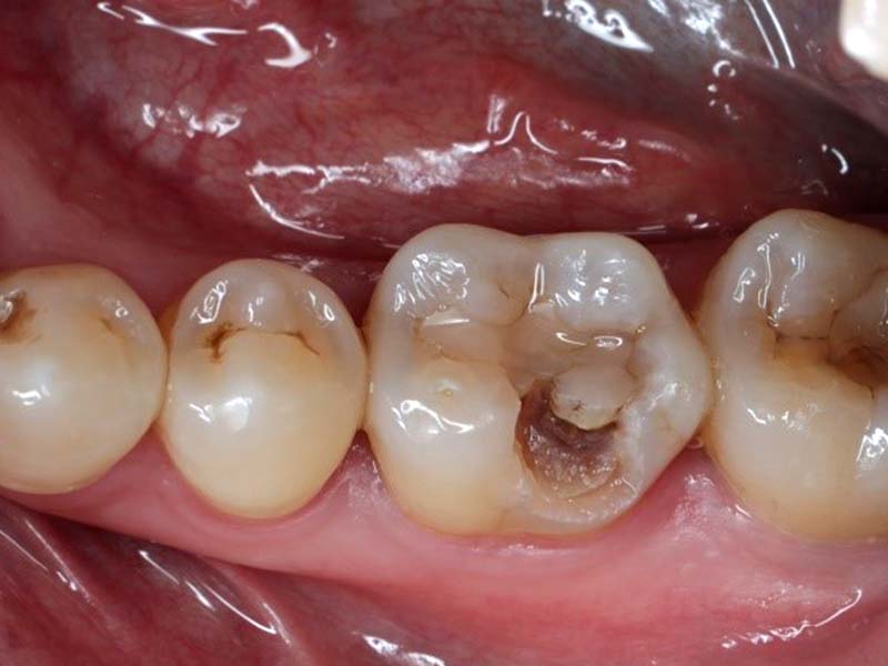
今天分享的案例就是典型的,因為補牙範圍過大,長期下來造成材料與牙齒產生縫隙不密合,細菌塞久了牙齒就崩落了,可以清楚看到裡面已經蛀掉了!
用橡皮帳隔絕細菌及汙染源,清楚內部蛀牙後修復不規則的外型



用數位模擬牙冠外型後,使用全瓷瓷塊依照缺損製作出仿真齒雕,與牙齒緊密結後,瓷塊密度與真牙相近,可以恢復牙齒外型以外,也能讓牙齒回到該有的強度,讓你可以安心大快朵頤。